Endoscopic cholecystoenteric stent migration as a cause of gallstone ileus
DOI:
https://doi.org/10.31837/cir.urug/9.1.22Keywords:
Gallstone ileus, Endoscopic cholecystoenteric prosthesis, Mechanical obstructionAbstract
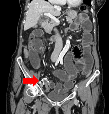
A 91-year-old woman with a history of recurrent biliary colic and chronic cholecystitis, previously treated by endoscopic endoluminal drainage with placement of an AXIOS 15-10 cholecystoduodenal prosthesis, with a good evolution after the procedure.
Downloads
Downloads
Published
How to Cite
Issue
Section
License
Copyright (c) 2025 José Luis Maestro de Castro, Sandra Veleda Belanche, Guillemo Estébanez Peláez, Fernando Acebes García, David Pacheco Sánchez

This work is licensed under a Creative Commons Attribution 4.0 International License.
All articles, videos and images published in Revista Cirugía del Uruguay are under the Creative Commons CC licenses, which is a complement to the traditional copyright, in the following terms: first, the authorship of the referred document must always be acknowledged and secondly none of the article or work published in the journal may have commercial purposes of any nature. The authors retain their copyrights and give the magazine the right of first publication of their work, which will be simultaneously subject to the Creative Commons Attribution-NonCommercial 4.0 International License license that allows the work to be shared whenever the initial publication is indicated in this journal.




















