Abdominal pseudotumor secondary to surgical obliteration
DOI:
https://doi.org/10.31837/cir.urug.4.2.8Keywords:
foreign body, surgical patiente safety, surgical proceduresAbstract

Obliteration or foreign body retention after a surgical procedure is a real, current, and preventable problem that affects the safety of the surgical patient.
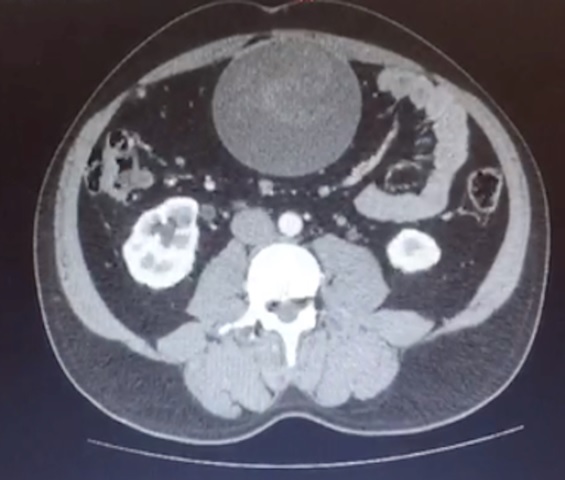
We present the case of a 42-year-old patient, who underwent an emergency laparotomy cholecystectomy 3 years ago, who consulted for a pain-free, progressing growth-free one-year central-abdominal tumor with no changes in transits. It is intra-abdominal, rounded 10 cm in diameter. A tomographic study was requested to confirm the finding, and the exploration was decided by means of a laparotomy that confirmed the presence of a surgical pad.
The patient evolves favorably.
It is important to adopt a culture of prevention, through the perioperative surveillance of the materials and instruments used during the surgical act.
Oblite can occur in any procedure and provoke medico-legal actions against the treating team.
Downloads
Downloads
Published
How to Cite
Issue
Section
License
All articles, videos and images published in Revista Cirugía del Uruguay are under the Creative Commons CC licenses, which is a complement to the traditional copyright, in the following terms: first, the authorship of the referred document must always be acknowledged and secondly none of the article or work published in the journal may have commercial purposes of any nature. The authors retain their copyrights and give the magazine the right of first publication of their work, which will be simultaneously subject to the Creative Commons Attribution-NonCommercial 4.0 International License license that allows the work to be shared whenever the initial publication is indicated in this journal.




















