CASO CLÍNICO
Fístula colecistoduodenal sin migración de cálculo. Reporte de caso
Cholecystoduodenal fistula without gallstones migration. Case report
Fístula colecistoduodenal sem migração de cálculos. Relatório de caso
Enrique Petracchi1
ORCID: 0000-0002-2575-4656
Carlos Canullan1
ORCID: 0000-0002-5755-0367
Héctor Posada1
ORCID: 0000-0002-0398-7870
José R. Varela1
ORCID: 0000-0003-3860-235X
Recibido: 16 de setiembre 2022
Aceptado: 05 de junio 2023
DOI: 10.31837/cir.urug/7.1.6
Resumen
El síndrome de Bouveret es una causa infrecuente de íleo biliar, posee una elevada morbimortalidad. Se produce por la migración de un cálculo, generalmente de gran tamaño, hacia el tracto gastrointestinal a través de una fistula colecistoduodenal. El objetivo de esta carta científica es presentar un paciente con un estadio previo de la enfermedad donde la fistula se encuentra constituida, pero sin migración del cálculo, por lo que el diagnóstico oportuno tendría un impacto favorable en el tratamiento y pronóstico debido a que no se encuentra instaurado el cuadro obstructivo intestinal.
Palabras claves: Íleo biliar; Obstrucción intestinal; Litiasis vesicular; síndrome de Bouveret.
Abstract
Bouveret's syndrome is a rare cause of biliary ileus, with a high morbimortality. It is caused by the migration of a stone, usually large, into the gastrointestinal tract through a cholecystoduodenal fistula. The objective of this scientific letter is to present a patient with a previous stage of the disease where the fistula is constituted, but without migration of the calculus, so that the timely diagnosis would have a favorable impact on the treatment and prognosis because the obstructive intestinal condition is not established.
Keywords: Biliary ileus; Intestinal obstruction; Gallblader stones; Bouverets síndrome
Resumo
A síndrome de Bouveret é uma causa rara de íleo biliar com uma morbilidade e mortalidade elevadas. É causada pela migração de uma pedra, geralmente grande, para o tracto gastrointestinal através de uma fístula colecystoduodenal. O objectivo desta carta científica é apresentar um doente com uma fase anterior da doença em que a fístula está presente, mas sem migração da pedra, para que o diagnóstico atempado tenha um impacto favorável no tratamento e prognóstico, uma vez que a condição obstrutiva instestinal não está estabelecida.
Palavras chave: Íleo biliar; obstrução intestinal; pedras na vesícula biliar; síndrome de Bouveret.
El síndrome de Bouveret fue descripto por primera vez en 1986 por Léon Bouveret. Se produce por la migración de un cálculo en la vesícula biliar hacia el duodeno a través de una fístula colecistoduodenal. Al tratarse de cálculos de gran tamaño, producen obstrucción del tracto digestivo, desencadenando vómitos y dolor abdominal. La litiasis vesicular sintomática, sin tratamiento, puede producir inflamación crónica, generando adherencias entre el sistema biliar y gastrointestinal. Estas adherencias, cuando se perpetúan, pueden producir fibrosis y erosión generando fístulas con el tubo digestivo.
El 60-80% de los pacientes tienen antecedentes de patología biliar. La relación mujer-hombre es de 7 a 1, es más frecuente entre la sexta y la séptima década de la vida1-3.
El objetivo de este trabajo es presentar el caso de una paciente en un estadio previo de la enfermedad, donde la fístula colecistoduodenal se encuentra constituida, pero sin migración del cálculo hacia el duodeno.
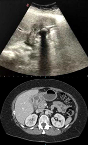
Una paciente femenina de 52 años, con antecedentes de obesidad y diabetes, ingresó a la guardia por dolor de tipo cólico en hipocondrio derecho asociado a vómitos de dos semanas de evolución. Se realizó una ecografía abdominal observando la vesícula biliar colapsada y una imagen hiperecogénica de 2x2 cm con sombra acústica posterior compatible con macro cálculo en bacinete, próximo a la pared duodenal (Fig.1. superior). La vía biliar, intrahepática y extrahepática, no se encontraba dilatada. La tomografía computada con contraste endovenoso mostró hallazgos similares. (Fig.1. inferior).
Fig.1. Imágenes preoperatorias
Superior: Ecografía, imagen hiperecogénica compatible con macro-cálculo en bacinete vesicular en contacto con duodeno.
Inferior: Tomografía axial computada se observa imagen hipodensa en íntimo contacto con pared duodenal.
Se realizó una video endoscopía digestiva alta, informando una lesión sobreelevada en volcán con fibrina blanquecina y pliegues edematosos a su alrededor, ubicada en la cara anterior del bulbo duodenal (ulcera A1). Se decide realizar un abordaje laparoscópico. Colocamos 4 puertos, introduciendo el puerto epigástrico hacia la izquierda del ligamento redondo para obtener mejor ángulo en caso de realizar sutura intracorpórea.4 En la laparoscopía se observa colecistitis crónica con adherencias firmes entre la vesícula biliar y el borde duodenal, correspondiendo a un grado 4 de la clasificación de parkland (Fig.2A).5 Luego de la liberación de adherencias, se identificó el bacinete adherido al borde duodenal. Se realizó la apertura del bacinete vesicular sobre el cálculo y extracción de mismo (Fig.2B). Insertamos una sonda de tipo Foley a través del puerto de 5 mm del hipocondrio derecho colocándola en el orifico del bacinete (Fig.2C), luego inyectamos contraste, observando pasaje de contraste a duodeno compatible con una fístula colecistoduodenal (Fig.2D).

Fig.2. Imágenes intraoperatorias
A: Proceso inflamatorio con adherencias firmes entre vesícula y duodeno. B: Apertura de bacinete vesicular sobre macro-cálculo. C: Introducción de sonda Foley en bacinete para realizar fistulografía intraoperatoria. D: Fistulografía que evidencia fistula colecistoduodenal.
Se realizó cierre del bacinete con sutura reabsorbible y colecistectomía parcial. La paciente evolucionó satisfactoriamente, externándose a las 48 horas.
El diagnóstico clásico del Bouveret se realiza con imágenes, observando aerobilia, imagen de cálculo ectópico, y distensión gástrica.1,3 Estos hallazgos característicos no fueron observados en nuestra paciente, probablemente debido a que al tratarse de un estadio previo al Bouveret, la fístula colecistoduodenal se encontraba constituida pero bloqueada por el cálculo.
El tratamiento es controvertido. El abordaje endoscópico, podría ser beneficioso debido a su presentación en pacientes añosos con comorbilidades asociadas, permitiendo realizar diagnóstico y tratamiento, sin embargo, su utilidad es limitada ya que hasta en un 33% de los casos no se evidencia el cálculo o no puede extraerse debido a su gran tamaño.6,7 Otra opción terapéutica es la litotricia extracorpórea para fragmentar el cálculo y poder extraerlo posteriormente por endoscopía, sin embargo, requiere de tecnología costosa y no se encuentra disponible en todos los centros médicos.6 Cuando la endoscopía no tiene éxito, el tratamiento es quirúrgico.
El tratamiento de la patología obstructiva únicamente o de la etiología biliar en el mismo acto, es materia de discusión. Actualmente la mayoría de los autores recomiendan realizar solo la enterotomía y extracción del cálculo8, difiriendo la cirugía biliar. La mejor solución dependerá del estado del paciente y la experiencia del cirujano, en nuestro caso, al encontrarse el cálculo en la vesícula biliar no hubo necesidad de gastrostomía, por otro lado, se pudo resolver la etiología biliar en un procedimiento similar a una colecistectomía laparoscópica con baja morbimortalidad postoperatoria.
En la bibliografía encontramos solo un artículo publicado similar al nuestro9 que describe una paciente femenina de 35 años con síndrome de Mirizzi por cálculo de 4 cm, que en la colangiopancreatografía retrograda endoscópica (CPRE) protruía hacia el duodeno sin fistula entérica asociada. Luego de la CPRE realizaron colecistectomía con tratamiento de la fistula biliar. A pesar de tratarse de un caso aislado en una patología infrecuente creemos que su diagnóstico y tratamiento en esta etapa tuvo un impacto favorable en el manejo del paciente, permitiendo realizar una cirugía de menor morbilidad, y tratar en el mismo acto la etiología biliar. Esto evitaría el riesgo de migración del cálculo hacia el duodeno y la posterior oclusión intestinal (síndrome de Bouveret, íleo biliar) con una mayor morbimortalidad.
Bibliografía
1. Haddad FG, Mansour W, Deeb L. Bouveret’s Syndrome: Literature Review. Cureus. 2018;10(3): e2299. doi:10.7759/cureus.2299
2. Salvatierra M, Perrone G, Campos N. Síndrome de Bouveret. A propósito de un caso Bouveret syndrome. A case report Carta científica. Rev Argent Cirug. 2016;108(4):204-205.
3. Varela Vega M, Mandacen M, Pouy A. Tríada de Rigler radiológica en un caso de íleo biliar. Rev Argent Cirug. 2020;112(2):203-204. doi:10.25132/raac.v112.n2.1469.es
4. Canullán C, Baglietto N, Merchán Del Hierro P, Petracchi E. Ten strategies to improve the efficacy of laparoscopic biliary surgery. Cir Esp (Engl Ed). 2020 Nov;98(9):547-553. doi: 10.1016/j.ciresp.2020.05.027. Epub 2020 Jul 16. PMID: 32684318.
5. Madni TD, Leshikar DE, Minshall CT, Nakonezny PA, Cornelius CC, Imran JB, et al. The Parkland grading scale for cholecystitis. Am J Surg. 2018;215(4):625-630. doi:10.1016/j.amjsurg.2017.05.017
6. Caldwell KM, Lee SJ, Leggett PL, Bajwa KS, Mehta SS, Shah SK. Bouveret syndrome: current management strategies. Clin Exp Gastroenterol. 2018;11: 69–75.
7. Petracchi, E, Chaktoura, D, Merchán, P. Síndrome de Bouveret. Cir. Urug. 2020;5(1):1-2 doi: 10.31837/cir.urug.5.1.8.
8. Alemi F, Seiser N, Ayloo S. Gallstone Disease: Cholecystitis, Mirizzi Syndrome, Bouveret Syndrome, Gallstone Ileus. Surg Clin North Am. 2019;99(2):231-244. doi: 10.1016/j.suc.2018.12.006.
9. Shakouri A, Tang SJ. Mirizzi With Pre-Bouveret’s Syndrome. Clin Gastroenterol Hepatol . 2008;6(3):e12-3. doi: 10.1016/j.cgh.2007.12.006.
1Servicio de Cirugía General; Hospital Cosme Argerich. Buenos Aires, Argentina
Contribución de los autores:
Concepción: Enrique Petracchi 40%, Carlos Canullan 20%, Héctor Posada 10%, José R. Varela 30%
Diseño: Enrique Petracchi 30%, Carlos Canullan 20%, Héctor Posada 20%, José R. Varela 30%
Análisis: Enrique Petracchi 30%, Carlos Canullan 30%, Héctor Posada 10%, José R. Varela 30%
Interpretación de resultados: Enrique Petracchi 40%, Carlos Canullan 30%, Héctor Posada 10%, José R. Varela 20%
Redacción y revisión crítica: Enrique Petracchi 30%, Carlos Canullan 30%, Héctor Posada 10%, José R. Varela 30%
Los autores declaran que no existe conflicto de interés.
Nota: Este artículo fue aprobado por el editor Gustavo Rodríguez Temesio.