IMAGEN DEL MES
Fístula gastrocólica secundaria a cáncer de colon
Gastrocolic fistula secondary to colon cáncer
Fístula gastrocólica secundária a câncer de cólon
Dres Virginia Irigoyen1
ORCID 0000-0003-0884-6628
Gabriela Espinosa1
ORCID 0000-0001-8451-353X
Gabriel Massaferro1
ORCID 0000-0003-0620-5798
Marcelo Viola1
ORCID 0000-0003-2733-5276

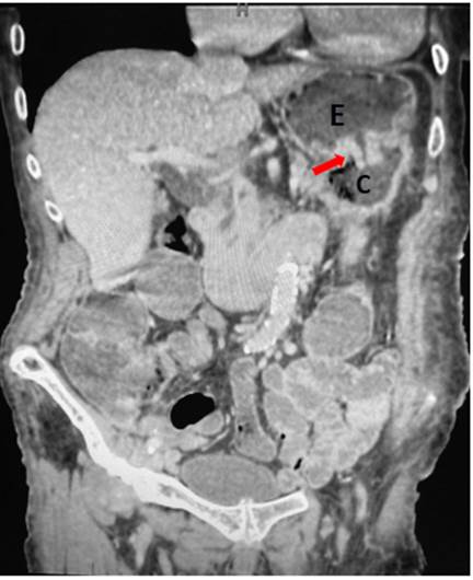
Fig. 1. Tomografía computada (corte coronal) que muestra imagen en reloj de arena consecuencia de fístula gastrocólica.
Recibido: 8 de octubre de 2021
DOI 10.31837/cir.urug/6.1.11
La fístula gastrocólica descrita en 1755 por Albrecht von Haller, se define como la comunicación anormal entre el colon generalmente transverso y estómago en su curvatura mayor.
Se conocen distintas etiologías, siendo un hallazgo poco frecuente con escasos reportes en la literatura.
Se presenta el caso de una paciente de 85 años con historia de anemia y adelgazamiento que consulta por cuadro de vómitos fecaloideos, sin alteraciones de tránsito digestivo bajo, sin dolor ni distensión abdominal con ruidos hidroaéreos normales y sonda nasogástrica con contenido fecaloideo.
La Tomografía (fig. 1) confirma una lesión de probable etiología maligna del ángulo esplénico del colon fistulizado a estómago por lo que se decide la realización de una colectomía sectorial con anastomosis primaria y gastrectomía subtotal, evolucionando favorablemente con un alta a los 6 días. La anatomía patológica informa adenocarcinoma de colon moderadamente diferenciado con compromiso gástrico.
1 Departamento de Emergencia Médica Uruguaya Corporación de Asistencia Médica. Montevideo, Uruguay