Diverticulitis perforada causante de fascitis necrotizante de miembro inferior
Perforated diverticulitis causing necrotizing fasciitis of the lower limb
Diverticulite perfurada causando fasceíte necrosante do membro inferior
María del Mar Aguiriano Casanova1
ORCID 0000-0001-7921-9002
Úrsula Ponce Villar2
ORCID 0000-0002-4458-922X
Fabián Peiró Monzó3
ORCID 0000-0002-4380-1479
Carmen Montesinos4
ORCID 0000-0002-6047-4289
Jesús Seguí5
ORCID 0000-0001-5456-0538

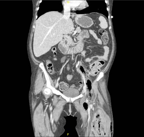
Fig. 1 Diagnóstico: Diverticulitis perforada causante de fascitis necrotizante.
Recibido: 26 de abril de 2021
Aceptado: 25 de noviembre de 2021
DOI 10.31837/cir.urug/6.1.5

Fig. 2 Desbridamiento quirúrgico realizado
Mujer de 59 años, con antecedentes de diverticulosis de colon, que acude por dolor en la región inguinal y en el miembro inferior izquierdo de dos meses de evolución.
En una primera instancia, la paciente se presentó con clínica de sepsis y se objetivó un eritema en el miembro inferior izquierdo, asociado a celulitis y crepitación subcutánea.
La TC mostraba una colección hidroaérea en psoas y retroperitoneal que asciende hasta la cavidad abdominal hallándose una diverticulitis perforada. El tratamiento quirúrgico se basó en el drenaje de la colección retroperitoneal y sigmoidectomía, seguido de una fasciotomía, desbridamiento y lavado del muslo.
La perforación de un divertículo puede formar un absceso intraperitoneal desarrollando una peritonitis o un absceso retroperitoneal, derivando en una translocación bacteriana hacia la extremidad inferior, debido a la comunicación existente en el anillo crural, generando una fascitis necrotizante del miembro.
1 Residente Primer año de Cirugía General y Aparato Digestivo. Hospital Francesc de Borja, Gandía, Valencia, España
2,3 Facultativo Especialista Adjunto de Cirugía General y Aparato Digestivo. Hospital Francesc de Borja, Gandía, Valencia, España
4 Facultativo Especialista Adjunto y Jefa Clínica de Cirugía General y Aparato Digestivo. Hospital Francesc de Borja, Gandía, Valencia, España
5 Facultativo Especialista Adjunto y Jefe de Servicio de Cirugía General y Aparato Digestivo. Hospital Francesc de Borja, Gandía, Valencia, España