Imagen del mes
Fístula enteroentérica y enterocutánea asociada a recurrencia de adenocarcinoma de colon
Enteroenteric and enterocutaneous fistula associated with recurrence of colon adenocarcinoma
Fístula enteroentérica e enterocutânea associada à recorrência de adenocarcinoma de cólon
Jorge Adrián Romero Sánchez1
ORCID 0000-0002-3557-2186
Jorge Farell Rivas2
ORCID 0000-0002-3369-565X
Ana Paula Ruiz-Funes Molina3
ORCID 0000-0001-9888-7460
DOI: https://doi.org/10.31837/cir.urug.6.1.1
Recibido: 20 de mayo 2020
Aceptado: 19 de noviembre 2021

Foto 1 Radiografía simple de abdomen con evidencia de dilatación de asas intestinales. (Flecha señala la dilatación intestinal)
Paciente de sexo femenino de 42 años con antecedente de hemicolectomía derecha por cáncer de colon, con íleo-transverso anastomosis dos años antes. Acudió por dolor abdominal.
A la exploración física se observó pérdida de continuidad de 1 cm en la cicatriz previa, con secreción purulenta y dolor sin evidencia de irritación peritoneal. Se realizó radiografía simple de abdomen, (Foto 1) y tomografía de abdomen (Foto 2), ambas con datos sugestivos de oclusión intestinal; la tomografía documentó fístula enterocutánea, por fuga de medio de contraste a través de pared abdominal.

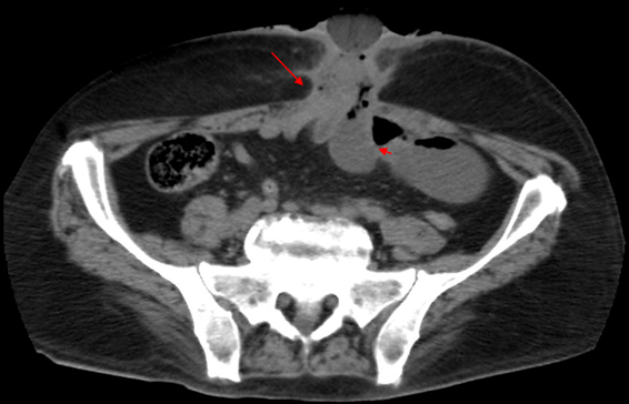
Foto 2 Corte axial de tomografía de abdomen contrastada con evidencia de fistula enterocutánea. (Flecha: indica la fistula entero-cutánea; Cabeza de Flecha; indica el conglomerado de asas intestinales
Por los hallazgos, se decidió realizar una laparotomía exploradora. Encontrando una fístula entero-cutánea y entero-entérica formada por un conglomerado de asas intestinales. Se encontraron 5 asas comunicadas entre ellas (Foto 3); el extremo proximal a 80cm del ángulo de Treitz y el extremo distal a 140 cm de la íleo-transverso anastomosis; se reconoce recaída tumoral en la fístula (anatomía patológica extemporánea: Adenocarcinoma). Se resecó el trayecto fistuloso en la pared abdominal y las asas intestinales involucradas (Foto 4).

Foto 3 Conglomerado de 5 asas intestinales con comunicación a fistula entero-cutánea/entero-entérica

Foto 4 Pieza quirúrgica resultado de resección de conglomerado de asas intestinales y fistula entero-cutánea/entero-entérica
La paciente fue dada de alta 6 días después, evidenciando adecuado peristaltismo, evacuaciones y adecuado control del dolor.
Se citó a la consulta externa a los 15 días, y posteriormente cada mes durante 3 citas más, posterior a ello se dio de alta del servicio sin complicaciones derivadas del evento quirúrgico.
1 Residente de Cirugía General, Hospital Central Sur de Alta Especialidad. Departamento de Cirugía General, Ciudad de México, México.
2 Cirujano General, Hospital Central Sur de Alta Especialidad Departamento de Cirugía General. Ciudad de México, México
3 Residente de Laparoscopia Avanzada, Hospital Central Sur de Alta Especialidad. Departamento de Cirugía General. Ciudad de México, México