Neumomediastino espontáneo: ¿una patología benigna? análisis de 25 casos y revisión de la literatura
Spontaneous pneumomediastinum: a benign pathology? analysis of 25 cases and review of the literature
Ana Baeza Carrión1
ORCID: https://orcid.org/0000-0002-7798-3354
María de los Ángeles Cornejo López2
ORCID: https://orcid.org/0000-0002-6869-020X
Beatriz Garrido Benito2
ORCID https://orcid.org/0000-0002-3011-8953
Juan José Pascual Nadal1
ORCID https://orcid.org/0000-0001-5548-9147
Paula Velayos García1
ORCID: https://orcid.org/0000-0002-2998-6614
Roberto Ripoll Martín2
ORCID: https://orcid.org/0000-0002-9604-4950
José Ramón Ots Gutiérrez2
ORCID: https://orcid.org/0000-0003-3645-6424
Israel Oliver García2
DOI 10.31837/cir.urug/5.2.6
Recibido: 2 de octubre de 2020
Aceptado: 5 de abril de 2021
Resumen
Introducción y objetivos: El neumomediastino espontáneo se define como aire intersticial en el mediastino sin causa primaria establecida que predomina en varones jóvenes adultos. El objetivo de este estudio es informar sobre el manejo habitual en nuestro hospital y proponer un algoritmo diagnóstico-terapéutico.
Materiales y métodos: Estudio descriptivo y retrospectivo de 25 casos de neumomediastino espontáneo diagnosticados en nuestro hospital, en un período de 25 años.
Se analizaron datos demográficos, factores predisponentes y desencadenantes, clínica, diagnóstico, tratamiento y recurrencias.
Resultados: La edad media fue de 22 años, con asma, inhalación de drogas, extracciones dentarias o tabaquismo como factores predisponentes. Los síntomas más frecuentes fueron dolor torácico, disnea, disfonía y disfagia/odinofagia. El diagnóstico inicial se obtuvo mediante radiografía de tórax, completándose en ocasiones con tomografía computarizada, esófagograma o laringoscopía. Todos los pacientes ingresaron manejándose de forma conservadora. Durante el seguimiento el 12 % presentó recurrencia del neumomediastino, resolviéndose sin complicaciones.
Discusión: La presencia de aire libre mediastínica puede percibirse como hallazgo de mal pronóstico, pero estudios previos concluyen que el neumomediastino espontáneo cuenta con un curso benigno, aunque el diagnóstico debe hacerse por exclusión, pues el grosso de la evidencia lo constituye el neumomediastino secundario.
Conclusiones: El neumomediastino espontáneo es una entidad benigna e infrecuente, que puede tener factores predisponentes y desencadenantes, si bien no existe causa primaria aparente. Se resuelve habitualmente de forma conservadora en pocos días, aunque pueden existir recurrencias.
Palabras clave: neumomediastino, aire ectópico, enfisema subcutáneo, enfisema mediastínico.
Abstract
Introduction and objectives: Spontaneous pneumomediastinum is defined as interstitial air in the mediastinum with no established primary cause that predominates in young adult males. The objective of this study is to inform about the usual management in our hospital and to propose a diagnostic-therapeutic algorithm.
Materials and methods: Descriptive and retrospective study of 25 cases of spontaneous pneumomediastinum diagnosed at our hospital, in a period of 25 years. Demographic data, predisposing and triggering factors, symptoms, diagnosis, treatment, and recurrences were analyzed.
Results: The mean age was 22 years, with asthma, drug inhalation, tooth extractions, or smoking as predisposing factors. The most frequent symptoms were chest pain, dyspnea, dysphonia, and dysphagia / odynophagia. The initial diagnosis was obtained by chest x-ray, sometimes being completed with computerized tomography, esophagogram, or laryngoscopy. All patients were admitted conservatively. During follow-up, 12 % presented recurrence of the pneumomediastinum, which resolved without complications.
Discussion: The presence of free mediastinal air can be perceived as a finding of poor prognosis, but previous studies conclude that spontaneous pneumomediastinum has a benign course, although the diagnosis must be made by exclusion, since the bulk of the evidence is secondary pneumomediastinum.
Conclusions: Spontaneous pneumomediastinum is a benign and infrequent entity that may have predisposing and triggering factors, although there is no apparent primary cause. It usually resolves conservatively in a few days, although there may be recurrences.
Key words: pneumomediastinum, ectopic air, subcutaneous emphysema, mediastinal emphysema.
Introducción
El neumomediastino espontáneo (NE) es una patología benigna e infrecuente que predomina en varones jóvenes adultos, desencadenada por cambios súbitos de presión intratorácica. Entre sus manifestaciones clínicas más frecuentes destacan dolor torácico, disnea y enfisema subcutáneo, las cuales pueden simular diferentes patologías cardiopulmonares con complicaciones más graves o con mayor índice de letalidad, por lo que en determinadas ocasiones el diagnóstico es difícil ya que se deben excluir en primera instancia las causas secundarias de neumomediastino.
Se define como la presencia de aire intersticial en el mediastino sin aparentes factores precipitantes. Descrito en 1939 por Louis Hamman (por lo que también es conocido como Síndrome de Hammman), su fisiopatología fue expuesta en 1944 por Macklin, cuyas bases siguen vigentes en la actualidad.
El objetivo de este estudio es informar sobre la experiencia con el manejo de 25 pacientes con NE. Se analizó la presentación clínica, evaluación diagnóstica, hallazgos radiológicos, estancia hospitalaria y evolución de los pacientes de nuestro hospital. Además, se realizó una extensa revisión de la literatura, a pesar de que dada la baja incidencia de esta patología, no es sorprendente encontrar entre los estudios publicados series de pacientes de pequeño tamaño muestral e incluso artículos de casos individuales [1]. Proponemos a su vez un nuevo algoritmo de manejo del NE basado en nuestra experiencia clínica.
Métodos
Estudio descriptivo y retrospectivo de 25 casos de neumomediastino espontáneo diagnosticados en un período de 25 años. Entre agosto de 1995 y agosto de 2020, todos los pacientes con código diagnóstico de ‘neumomediastino - enfisema mediastínico’ fueron identificados en nuestro hospital. La recolección de datos se realizó según pautas de protección de datos del paciente. En los gráficos del presente estudio se revisaron los datos demográficos, la presentación clínica, factores predisponentes y desencadenantes, curso clínico, exploración, métodos diagnósticos, tratamiento y resultados. Los criterios de inclusión para NE fueron la confirmación radiológica de aire dentro de los planos del mediastino sin ninguna causa secundaria subyacente. Se consideró como neumomediastino secundario (y por tanto criterios de exclusión) a todos los ingresos por traumatismo, intervenciones recientes del tracto aéreo-digestivo, enfermedad oncológica subyacente, infección intratorácica, perforación esofágica, virus VIH, e intubación orotraqueal reciente. Las variables evaluadas en los pacientes se recogen en la Tabla 1.
|
TABLA 1. Variables evaluadas en pacientes con neumomediastino espontáneo |
|||||||
|
Datos demográficos |
Factores predisponentes |
Factores desencadenantes |
Clínica |
Curso clínico |
Exploración |
Exploraciones diagnósticas |
Tratamiento |
|
Sexo
Edad
Fecha ingreso |
Tabaco
Infección respiratoria
Enfermedad intersticial
Hiperreactividad bronquial Asma
Drogas inhaladas
Corticoesteroides
Viaje en avión
Buceo
Extracción dentaria |
Náuseas/vómitos
Tos
Drogas inhaladas
Ejercicio intenso
Defecación
Parto
Infección vías respiratorias altas/ estornudo
Crisis asmática
Conductas purgativas |
Disnea
Enfisema subcutáneo
Dolor torácico
Tos
Dolor cervical
Disfagia/ Odinofagia
Disfonía
Neumotórax
Derrame pleural
Dolor epigástrico
Mareo |
Inicio clínica hasta consulta
Estancia hospitalaria
Seguimiento
Complicaciones
Recurrencia
Mortalidad |
Temperatura
FC*
Saturación oxígeno
Taquipnea
Sibilantes
Signo Hamman |
Leucocitos
PCR*
Rx tórax
TC tórax
Esofagograma
Gastroscopia
Laringoscopia |
Ingreso
Analgesia
Reposo
Antibiótico profiláctico
Oxígeno
Dieta absoluta |
*FC: frecuencia cardíaca; PCR: proteína C reactiva. Todos los pacientes fueron ingresados a través del Servicio de Urgencias de nuestro hospital, ya sea por asistencia directa o por traslado desde otros hospitales. Las consultas de seguimiento ambulatorias también fueron revisadas, con el objetivo de identificar cualquier recurrencia o complicación. Para el análisis estadístico se calcularon porcentajes, medias y desviaciones estándar con el programa de análisis de datos SPSS versión 21.
Resultados
Durante los 25 años de seguimiento retrospectivo, 25 pacientes fueron diagnosticados de NE, determinándose sus características principales en la Tabla 2. La edad media de los pacientes al diagnóstico fue 22 años (rango 9 - 34 años), siendo la mayoría (52 %) varones. Entre sus antecedentes personales se constató historia de asma en el 28 % de ellos, consumo de drogas inhaladas (cocaína y metanfetamina) en un 24 %, historia de extracciones dentarias en un 24 %, consumo de tabaco en el 12%, e hiperreactividad bronquial hasta en el 16 %. Uno de ellos refirió como antecedente un viaje reciente en avión previo al diagnóstico (Tabla 3).
|
TABLA 2. Características de los pacientes (nº de pacientes (%)) |
|
|
Número de pacientes |
25 (100) |
|
Sexo Hombre Mujer |
13 (52) 12 (48) |
|
Edad* (años) |
22,54 (9 - 34) |
|
*Los datos se muestran como media (rango de edad). |
|
|
TABLA 3. Factores predisponentes (nº de pacientes (%)) |
|
|
Historia de asma |
7 (28) |
|
Extracción dentaria |
6 (24) |
|
Drogas inhaladas |
6 (24) |
|
Enfermedad intersticial/Hiperreactividad bronquial |
4 (16) |
|
Tabaco |
3 (12) |
|
Viaje en avión reciente |
1 (4) |
Todos los pacientes tuvieron uno o más síntomas al acudir a urgencias (Tabla 4). Los más frecuentes fueron dolor torácico (60 %), disnea (44 %), disfonía (28 %) y disfagia (20 %). Tras una revisión cuidadosa, se determinaron eventos desencadenantes en veinte casos (80 %), en su mayor parte vómitos, tos, crisis asmática, infección de vías respiratorias altas e inhalación de drogas, sin embargo, en cinco de los pacientes no se documentó ningún desencadenante evidente.
|
TABLA 4. Síntomas y factores desencadenantes (nº de pacientes (%)) |
|
|
Síntomas Dolor torácico Disnea Disfonía Disfagia/Odinofagia Dolor cervical Mareo Dolor epigástrico |
15 (60) 11 (44) 7 (28) 5 (20) 3 (12) 2 (8) 2 (8) |
|
Factores desencadenantes Vómitos Tos Crisis asmática Infección vías respiratorias altas / estornudo Drogas inhaladas Conductas purgativas (Anorexia nerviosa) |
8 (32) 7 (28) 5 (20) 4 (16) 3 (12) 2 (8) |
El período de tiempo desde la presentación de los síntomas hasta la primera visita a urgencias tuvo una media de 1,17 días (rango 0,2 – 7 días) (Tabla 5). Una vez ingresados, su estancia hospitalaria media fue de 5,16 días (rango 2 – 15 días). Posterior al alta médica, nueve pacientes (36 %) recibieron seguimiento posterior en consulta.
|
TABLA 5. Curso clínico en días |
|
|
Inicio clínica hasta consulta |
1,17 (0,2 - 7) |
|
Estancia hospitalaria |
5,16 (2 - 15) |
|
Seguimiento* |
9 (36 %) |
|
Los datos se muestran como media (rango). *Los datos se muestran como nº de pacientes (%) |
|
La exploración física y los métodos diagnósticos se muestran en la Tabla 6. A la exploración, quince pacientes (60 %) presentaron enfisema subcutáneo, mayoritariamente distribuido entre cuello, hombros y nuca. El 28 % presentaron sibilantes auscultatorios, y en uno de ellos se evidenció el signo de Hamman (característica crepitación pericárdica, sincrónica con los latidos cardíacos). Incluso en los casos con disnea, la saturación de oxígeno con aire ambiente, la temperatura y el resto de constantes vitales fueron normales en la mayoría de casos. Analíticamente, se registraron elevaciones de proteína C reactiva (PCR) y leucocitosis en el 16 y 56 % de los pacientes, respectivamente.
|
TABLA 6. Exploración física y métodos diagnósticos (nº de pacientes (%)) |
|
|
Enfisema subcutáneo |
15 (60) |
|
Signo Hamman |
1 (4) |
|
Sibilantes |
7 (28) |
|
Temperatura >37,5 ºC >38 ºC |
3 (12) 0 (0) |
|
Frecuencia cardíaca <100 lpm >100 lpm |
19 (76) 6 (24) |
|
Frecuencia respiratoria <20 rpm >20 rpm |
23 (92) 2 (8) |
|
Saturación oxígeno 96,72 ± 3,15 (%, aire ambiente)* |
22 (88) |
|
Analítica sanguínea Leucocitos (/mm3) <9000 >9000 PCR (mg/dL) <0,5 >0,5 |
11 (44) 14 (56)
21 (84) 4 (16) |
|
Radiografía tórax postero anterior Signos de neumomediastino Derrame pleural |
23 (92) 4 (16) |
|
Tomografía computerizada de tórax |
14 (56) |
|
Esofagograma |
0 (0) |
|
Laringoscopia |
0 (0) |
|
*Los datos se muestran como media ± desviación estándar. PCR: proteína C reactiva |
|
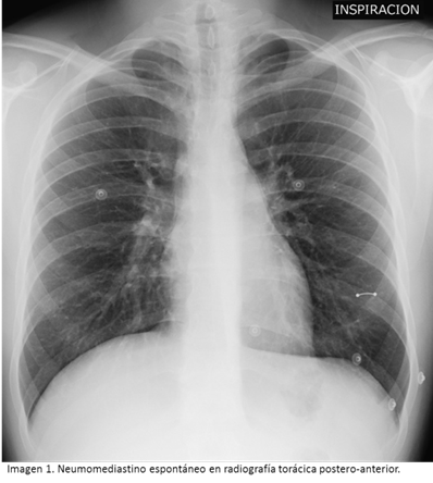
El diagnóstico de sospecha de NE se obtuvo con radiografías postero-anteriores (PA) de tórax, excepto en dos pacientes con marcado enfisema subcutáneo. No obstante, en catorce pacientes se completó el estudio con tomografía computarizada (TC) torácica (con contraste intravenoso). En estas pruebas de imagen no se observó ningún neumotórax concomitante, pero si presencia de derrame pleural hasta en cuatro ocasiones. Las imágenes radiológicas características de NE se muestran en las imágenes 1 y 2. Tras el diagnóstico, se añadieron algunas exploraciones complementarias para estrechar el diagnóstico diferencial, como esofagograma o laringoscopia, que excluyeron posibles complicaciones secundarias como la perforación esofágica y/o del árbol traqueobronquial.


Los tratamientos se resumen en la Tabla 7. Todos los pacientes atendidos en el servicio de urgencias fueron ingresados en nuestro hospital, y manejados con reposo y analgesia a demanda. El 40 % recibió antibióticos (mayoritariamente amoxicilina – clavulánico intravenoso y posteriormente oral hasta completar diez días), y el 36 % restricción de la ingesta oral (durante las primeras 24 – 48 horas). Doce de ellos recibieron oxígeno intranasal por cánula o gafas nasales a bajo flujo durante su estancia.
Todos los pacientes presentaron un curso clínico favorable sin evidenciar complicaciones posteriores. Los síntomas se autolimitaron y desaparecieron antes del alta hospitalaria. En el seguimiento posterior de los 25 pacientes, tres de ellos (el 12 %, dos varones y una mujer de edades comprendidas entre 20 y 29 años) presentaron recurrencias de NE durante los dos primeros años, resolviéndose sin complicaciones, al igual que en el primer episodio.
|
TABLA 7. Tratamiento y resultados (nº de pacientes (%)) |
|
|
Ingreso |
25 (100) |
|
Tratamiento Analgesia Reposo Antibiótico Oxígeno a bajo flujo en gafas nasales Restricción de ingesta oral |
25 (100) 22 (88) 10 (40) 12 (48)
9 (36) |
|
Complicaciones |
0 (0) |
|
Recurrencia |
3 (12) |
|
Mortalidad |
0 (0) |
Discusión
El neumomediastino se define como la presencia de aire libre en el mediastino, lo que en principio puede ser percibido como un hallazgo de mal pronóstico, con complicaciones potencialmente letales [2]. Se divide clásicamente en dos grupos de pacientes: neumomediastino espontáneo (sin causa primaria establecida), del que trata el presente estudio, y secundario a alguna causa específica, como traumatismo, infección intratorácica o manipulación previa aéreo-digestiva. También conocido como enfisema mediastínico, fue originalmente descrito por Laënnec en 1819 y por Louis Hamman en 1939 (Síndrome de Hamman) [2] [3] [4], quien observó en estos pacientes una característica crepitación pericárdica, sincrónica con los latidos cardíacos. La aparición de este signo (de Hamman), es muy variable (5-85%) y actualmente no se considera patognomónico [5]. En nuestro estudio, sólo se documentó en uno de los pacientes.
El NE se describe como una entidad benigna e infrecuente (de incidencia menor a 1:44000, aunque varía de 0,001 % a 0,01 %, debido a las diferencias de los métodos diagnósticos entre diferentes centros médicos) [6], [7], [8], que afecta principalmente a adultos jóvenes varones sin aparente enfermedad concomitante, tras ser expuestos a un cambio súbito de presión intratorácica. Nuestro estudio corrobora esa mayor frecuencia en varones jóvenes, con una edad media de 22,54 años.
Las manifestaciones clínicas más frecuentes son dolor torácico, disnea y enfisema subcutáneo, al igual que ocurre en nuestra muestra de pacientes. Su patogénesis fue inicialmente postulada por Macklin, basándose en la diferencia de presión entre los alveolos y el intersticio pulmonar. Dicho gradiente se desarrolla por hiperinflación del alvéolo o por reducción de la presión intersticial. El aire que posteriormente fuga al tejido intersticial se difunde hacia el peribronquial y perivascular, y luego hacia mediastino, cuello y tejido celular subcutáneo [1], [4], [9], [10], [11].
En el NE, el pulmón subyacente es sano y se cree que la fuga de aire es atraumática. En recién nacidos y niños existen factores predisponentes como neumonía o aspiración de meconio, asma, bronquiolitis, bronconeumonía, convulsiones, laringitis, atelectasia u obstrucción de vías aéreas. Sin embargo, en determinadas situaciones es difícil determinar la etiología del aire mediastínico, y el diagnóstico se debe hacer por exclusión, pues el groso de la evidencia científica lo constituye el neumomediastino secundario [1], [4], [10], [11], [12].
Entre las causas o factores desencadenantes que encontramos en la literatura, hasta en el 70 – 90 % de los casos se constatan factores desencadenantes: maniobras respiratorias y de Valsalva, como toser, llorar, gritar, vómitos, inhalación de drogas, obstrucción de vía aérea (aspiración de cuerpo extraño), infecciones (neumonía por microorganismos formadores de gas), enfermedad pulmonar obstructiva (asma), efectos tóxicos (tabaco), traumática (Síndrome de Boerhaave) y la debilidad del tejido (anorexia nerviosa), así como ascensos rápidos en submarinistas y lesiones por explosión [7]. En el presente estudio encontramos de igual manera los vómitos, la tos y la crisis asmática como factores desencadenantes más frecuentes, con un 32 %, 28 % y 20 % de frecuencia respectivamente.
Por otro lado, algunos factores predisponentes pueden ser la aviación [13], el éxtasis, (el estudio de Marasco y Kiat evaluó el desarrollo de NE tras el consumo de esta sustancia, y sobre un total de 56 pacientes postuló que durante los períodos de extrema agitación física, las maniobras reiteradas de Valsalva podrían explicar el mecanismo fisiopatológico del neumomediastino, en lugar de ser causado por un efecto directo farmacológico de la droga [14]), la cocaína (el 12 % de nuestros pacientes consumió previamente esta droga), la marihuana, la inhalación de helio gaseoso (un estudio publicado en The Journal of Emergency Medicine documenta un caso de NE y enfisema subcutáneo después de la inhalación de helio, presumiblemente por fugas de aire secundarias a elevación de la presión intratorácica debido a la repetida inhalación del gas [15]) o el consumo de metanfetaminas (Pourmotabed y Jalili describen dos casos de NE después de la inhalación de esta droga [16], [17]).
El diagnóstico de NE se ve a menudo entorpecido por el hecho de que, además de su infrecuencia, el dolor torácico y la disnea (sus síntomas más frecuentes), están presentes en multitud de patologías cardiopulmonares [4], [6]. Se confirma por radiografía de tórax PA, incluyendo región cervical. Sus signos radiológicos incluyen el signo del diafragma continuo (interposición de aire entre el pericardio y el diafragma, que se vuelve visible en el mediastino central) y en algunos neonatos puede observarse el "Signo de Spinnaker" (desviación supero-externa de lóbulos tímicos) cuando el aire asciende el timo por encima del corazón y lo separa de la silueta cardíaca [3], [10], [18]. El NE es raro en niños, con un impacto bimodal que alcanza su punto máximo en niños menores de siete años de edad y luego nuevamente en la adolescencia. A pesar de que el diagnóstico se realiza mediante exploración física y radiografía de tórax, ya existen estudios que sugieren la importancia del método ecográfico en la detección infantil y neonatal de esta patología [19] [20].
Estudios previos concluyen que el NE cuenta con un curso clínico benigno con muy raras recurrencias y/o complicaciones. Sin embargo en la mayoría de casos, se realizan varias pruebas analíticas y radiológicas, incluyendo el TC cérvico-torácico con contraste oral para descartar la ruptura esofágica (Síndrome de Boerhaave). Los pacientes permanecen hospitalizados habitualmente entre 5 y 8 días (contando nuestro estudio con una estancia media de 5,16 días con un rango comprendido entre 2 y 15) [4], [8], [21], [22]. Esta estancia media hospitalaria, que podría considerarse excesiva para una patología benigna, puede deberse a la escasez de estudios publicados al respecto y al desconocimiento existente entre el personal médico sobre el manejo adecuado de esta entidad, razón por la cual vemos necesario la creación de un algoritmo estandarizado. Si el NE fuese autolimitado, con leves signos inflamatorios, la hospitalización podría ser corta (2 - 3 días), siempre que sus síntomas mejorasen gradualmente. Sin embargo, en aquellos pacientes con sintomatología persistente, pueden ser necesarios ingresos más prolongados (7 - 8 días). Respecto al seguimiento a largo plazo, la evidencia científica sugiere no ser necesario [7], [20], [23]. Es controvertido el uso de antibióticos profilácticos en el tratamiento, pero existen estudios como el de Ebina e Inoue, que sugieren que no serían precisos [21], en nuestro caso se administraron al 40 % de los pacientes, sin apreciarse diferencias pronósticas con respecto a los pacientes que no los recibieron.
Conclusiones
Se concluye que el NE es una entidad benigna e infrecuente, típica de varones jóvenes que presentan disnea, dolor torácico y/o enfisema subcutáneo, sin existir causa primaria aparente. El diagnóstico se confirma por radiografía de tórax PA, aunque suele completarse el estudio con TC para descartar complicaciones de gravedad. Sus factores predisponentes más frecuentes son el asma, el tabaquismo y las drogas inhaladas entre otros. Así mismo, también puede desencadenarse por vómitos, tos, crisis asmática y otras maniobras de Valsalva. Suele cursar de forma autolimitada, resolviéndose de forma conservadora, aunque pueden existir recurrencias.

A continuación, proponemos un algoritmo de actuación diagnóstico-terapéutico que se ha instaurado en nuestro centro hospitalario siguiendo la evidencia científica disponible y la experiencia clínica obtenida a lo largo de los años.
Referencias
1. Caceres M, Ali SZ, Braud R, Weiman D, Garrett HE Jr. Spontaneous pneumomediastinum: a comparative study and review of the literature. Ann Thorac Surg 2008; 86:962. doi: 10.1016/j.athoracsur.2008.04.067
2. Vanzo V, Bugin S, Snijders D, Bottecchia L, Storer L, Barbato A. Pneumomediastinum and pneumopericardium in an 11-year-old rugby player: a case report. J Athl Train 2013; 48:277. doi: 10.4085/1062-6050-48.1.11
3. Sahni S, Verma S, Grullon J, Esquire A, Patel P, Talwar A. Spontaneous pneumomediastinum: time for consensus. N Am J Med Sci 2013; 5:460. doi: 10.4103/1947-2714.117296
4. Dionísio P, Martins L, Moreira S, Manique A, Macedo R, Caeiro F et al. Spontaneous pneumomediastinum: experience in 18 patients during the last 12 years. J Bras Pneumol. 2017 Mar-Apr; 43(2):101-105. doi: 10.1590/S1806-37562016000000052
5. Campillo-Soto A, Coll-Salinas A, Soria-Aledo V, Blanco-Barrio A, Flores-Pastor B, Candel-Arenas M, et al. [Spontaneous pneumomediastinum: descriptive study of our experience with 36 cases.] Arch Bronconeumol 2005; 41:528 –31.
doi: 10.1157/13078656
doi: 10.5811/westjem.2015.1.24514
7. Fitzwater JW, Silva NN, Knight CG, Malllvvvezzi L, Ramos-Irizarry C, Brunweit C.. Management of spontaneous pneumomediastinum in children. J Pediatr Surg 2015; 50:983. doi: 10.1016/j.jpedsurg.2015.03.024
8. Potz BA, Chao LH, Ng TT, Okereke IC. Clinical Significance of Spontaneous Pneumomediastinum. Ann Thorac Surg. 2017 Aug; 104(2):431-435. Doi: 10.1016/j.athoracsur.2017.02.051
9. Macia I, Moya J, Ramos R, Morera R, Escobar I, Saumench J et al. Spontaneous pneumomediastinum: 41 cases. Eur J Cardiothorac Surg 2007; 31:1110. Doi: 10.1016/j.ejcts.2007.03.008
10. Hauri-Hohl A, Baenziger O, Frey B. Pneumomediastinum in the neonatal and paediatric intensive care unit. Eur J Pediatr 2008; 167:415-8. Doi: 10.1007/s00431-007-0517-9
11. Lee CY, Wu CC, Lin CY. Etiologies of spontaneous pneumomediastinum in children in middle Taiwan. Pediatr Pulmonol 2010; 45:869. https://onlinelibrary.wiley.com/doi/abs/10.1002/ppul.21124
12. Manuel Cáceres, Syed Z. Ali, Rebeca Braud et al. Spontaneous Pneumomediastinum: A Comparative Study and Review of the Literature. General Thoracic. 2008
https://www.annalsthoracicsurgery.org/article/S0003-4975(08)00915-6/fulltext
13. Grossman A, Romem A, Azaria B, et al. Pneumomediastinum in student aviators: 10 cases with return to flying duty. Aviat Space Environ Med 2005; 76:63. https://pubmed.ncbi.nlm.nih.gov/15672989/
14. Marasco SF, Lim HK. Ecstasy-associated pneumomediastinum. Ann R Coll Surg Engl 2007; 89:389.
https://www.ncbi.nlm.nih.gov/pmc/articles/PMC1963563/pdf/rcse8904-389.pdf
15. Zaia BE, Wheeler S. Pneumomediastinum after inhalation of helium gas from party balloons. J Emerg Med 2010; 38:155. https://www.jem-journal.com/article/S0736-4679(07)00471-4/fulltext
16. Pourmotabed S, Jalili M. Pneumomediastinum following Crystal Use: A Report of Two Cases. Case Rep Emerg Med 2016; 2016:9730484. https://www.ncbi.nlm.nih.gov/pmc/articles/PMC4826933/
17. Albanese J, Gross C, Azab M, Mahalean S, Makar R. Spontaneous pneumomediastinum: A rare complication of methamphetamine use. Respir Med Case Rep. 2017 Mar 10; 21:25-26.
https://www.ncbi.nlm.nih.gov/pmc/articles/PMC5358944/
18. Clemente Lorenzo MM, López López MÁ, Barquilla Cordero PM. Spontaneous pneumomediastinum. Med Clin (Barc). 2017 Oct 23; 149(8):e43. https://coek.info/pdf-spontaneous-pneumomediastinum-.html
19. Ng L, Saul T, Lewiss RE. Sonographic evidence of spontaneous pneumomediastinum. Am J Emerg Med 2013; 31:462.e3. https://www.ncbi.nlm.nih.gov/pmc/articles/PMC4380390/
20. Swords C, Tan NC, Jonas N. The implications of pneumomediastinum and subcutaneous emphysema for the paediatric otolaryngologist. Int J Pediatr Otorhinolaryngol. 2017 Oct;101:241-245
https://www.sciencedirect.com/science/article/abs/pii/S0165587617303543?via%3Dihub
21. Ebina M, Inoue A, Takaba A, Ariyoshi K. Management of spontaneous pneumomediastinum: Are hospitalization and prophylactic antibiotics needed? Am J Emerg Med. 2017 Aug; 35(8):1150-1153. https://www.ajemjournal.com/article/S0735-6757(17)30181-X/fulltext
22. Newcomb AE, Clarke CP. Spontaneous pneumomediastinum: a benign curiosity or a significant problem? Chest 2005; 128:3298 –302. https://journal.chestnet.org/article/S0012-3692(15)52892-4/fulltext
https://www.resmedjournal.com/article/S0954-6111(08)00134-0/fulltext
1Médico Residente Servicio de Cirugía General, Hospital Marina Baixa, Villajoyosa, Alicante, España. baeza.carrion.ana@gmail.com
2Facultativo adjunto Servicio de Cirugía General, Hospital Marina Baixa, Villajoyosa, Alicante, España